小艾电竞平台信息与官网介绍

您当前所在位置: 主页 > 专题专栏 > 健康科普 > 口腔健康科普 > 正文

智齿一定要拔吗?

日期:2023-08-07       作者:梁丹妮       来源:特诊科       编辑:唐玲

一般情况下,大多数人到了一定的年龄都会长出智齿,而对于拔掉智齿很大部分人会产生抗拒心理,认为“牙齿尽量别拔掉,不然其他牙齿会松动”“拔牙会很疼”等,实际是这样吗?

其实在拔牙过程中并没有明显的疼痛,因为拔牙前,都会进行麻药注射,一旦麻药完整发挥了作用,拔牙的时候就不疼了,拔除智齿也不会对其他牙齿造成影响,也不需要再另外镶牙。

但智齿一定要拔除吗?答案是不一定都要拔除,如果智齿位置和方向都正确,能够和对颌的智齿建立良好的咬合关系,和邻牙建立良好的邻接关系,可以发挥正常咀嚼功能,就不需要拔除。亦或者智齿完全埋于牙槽骨中,和邻牙之间有一层骨质相隔,对邻牙不造成任何的影响,也可以不拔除。但是如果出现位置不正确、没有对颌牙、上下颌智齿不能形成良好的咬合关系,本身出现了龋坏、牙髓炎、根尖炎或者引起邻牙出现了龋坏、牙髓炎以及和邻牙之间经常嵌塞食物、经常咬到颊黏膜引起创伤性溃疡,或者可能和颞颌关节紊乱综合征、三叉神经痛有关,都需要拔除。

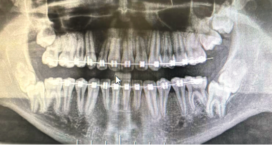
当然,很多时候仅凭肉眼是无法判断自己的智齿生长状态,所以一定要去看牙医,拍了牙片才能知道自己的智齿“千奇百怪”。

特别提醒

如果有备孕计划,备孕前一定要先做全面的口腔体检,如果有智齿一定要先拔掉。怀孕后体内激素水平变化更容易引起智齿发炎,而孕期基本抗生素都不能用,很难治疗。