主要问题以及初步印象:早晨起来发现枕头上有血迹?嘴里有血腥味?牙龈有自发出血?疼痛明显?有腐败性口臭?经常熬夜、压力大、抽烟?那你可要小心了!你可能得了急性坏死性溃疡性龈炎(ANUG)!!发生了牙龈坏死!!!
ANUG是指发生于龈缘和龈乳头的急性坏死性炎症。又称战壕口或者梭杆菌螺旋体性龈炎。对牙龈的破坏性很大并且发展很快,在牙龈炎中相当严重!
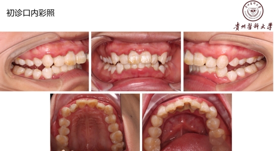
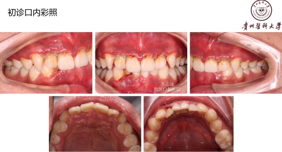
18岁,男性,经常抽烟,熬夜打游戏!!!
好发人群以及典型症状:该病好发于青壮年,多见于男性吸烟者、经常熬夜者、精神压力大者。得了这个病的话,前面描述的症状都可能会发生!牙龈的边缘及牙龈乳头发生坏死,常有黄白色假膜覆盖,很痛,有腐败臭味!!但是有这些症状时还是要小心另外一些很严重的疾病哦,比如白血病、艾滋等,得排除了它们,才能放心点。
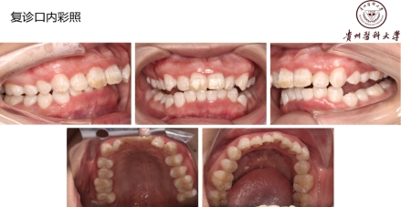
治疗以及预后:排除了白血病、艾滋等严重疾病,明确诊断后,病人也不要过分担心。这种病发病急,治疗效果及预后也好。治疗时去除牙石及坏死组织,局部止血,双氧水充分冲洗,口服抗厌氧菌药物替硝唑等,全身支持治疗:高蛋白饮食、维生素C等。一定要改变生活习惯,避免熬夜,戒烟,放松心情,保持口腔卫生!
定期牙周检查:最后,大家半年到一年就要定期来专业的口腔医院进行口腔检查!尤其是牙周的检查哦!!对于口腔的疾病要早发现、早治疗,只有这样,治疗才会越简单、费用也会越低!!!
延伸阅读:李志远简介

李志远,博士,讲师,住院医师。贵州省高层次人才,中华口腔医学会牙周病学、口腔黏膜病学专业委员会专科会员。擅长各类牙周疾病的诊断与治疗,对常见口腔黏膜疾病的诊治有一定经验,熟悉多种类型牙体牙髓、口腔修复学疾病的诊疗。参与完成国家自然科学基金面上项目2项、天津市自然科学基金项目1项,主持贵州省卫健委科学技术基金项目1项、小艾电竞官方网站新项目新技术1项,以第一作者及共同一作发表SCI论文两篇、中文核心期刊论文两篇。