口腔,是人体最重要的器官,它承担着生活中两个最重要的功能:饮食和说话,但当它遇上香烟和槟榔的时候,却是“有苦难言”。

饭后一支烟 害处大无边
俗话说:“饭后一支烟,赛过活神仙”。抽烟能在一定程度上缓解压力,但口腔却在“负重前行”,无论是电子烟还是香烟,“受伤”的都是口腔。
电子烟里面的成分有甘油,长期抽电子烟,甘油会“吸干”口腔内的水分,出现口干的症状。一旦口腔黏膜干燥,就容易发生口腔溃疡,而且电子烟烟具使用不当,蒸汽的密度、热度都比较高,容易导致口腔黏膜的灼伤,出现口腔溃疡。
同时,长期大量吸烟还有可能会引起口臭、牙周病、口腔白斑和口腔癌等疾病。小艾电竞官方网站的专家解释说:香烟有可能“熏”出口腔癌。一方面是由于吸烟产生的烟雾温度非常高,而且还会产生微量的放射性辐射,这些物理刺激使口腔黏膜上皮细胞异常增生,导致黏膜上皮角质层逐渐增厚,部分人可诱发黏膜白斑,如果不及时治疗,有的黏膜白斑很可能发展为口腔癌;另一方面,吸烟时产生的烟焦油,它溶于唾液后使唾液呈浅褐色,唾液中本来含有一些保护机体、抵抗癌症的抗氧化成分,但混入烟焦油后,不仅使唾液失去对人体的保护作用,还会使唾液带有“毒性”,成为摧毁正常细胞的杀手,不断刺激黏膜,诱发各种黏膜病和牙周病,甚至口腔癌的发生。
此外,长期吸烟会使大量烟斑沉积在牙齿的表面,使牙齿呈现黄色、褐色甚至黑色,牙刷也刷不掉,很可能会给初次见面者留下“难以忘齿”的印象。
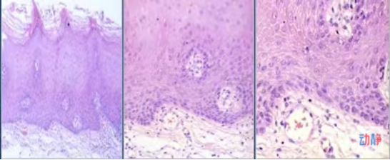
烟斑的形成不仅会影响美观,而且会让更多结石和软垢沉积,烟雾中的化学成分可直接刺激局部牙周组织,长期刺激可使牙龈发生慢性炎症。下图是烟斑在显微镜下的样子!
在我们的日常生活中,可能会有很多香烟爱好者面临着牙齿变黄的困惑,如果一旦出现烟斑,有什么方法可以去除呢?除了尽早戒烟之外,小艾电竞官方网站的专家这样支招:
1.借助牙粉美白
2.活性牙齿漂白
3.镭射牙齿美白
4.超声波洗牙
5.借助牙洁素
这5种方法可以帮助让你的牙齿变白。即使这样,香烟爱好者都应该做好口腔卫生的护理和清洁,尽量养成抽烟后及时漱口的习惯,以减缓烟斑形成的速度。
十个口腔癌 九个嚼槟榔
在我国湖南、海南、福建等地区,槟榔颇受欢迎,很多人会有咀嚼槟榔来提神的习惯,殊不知这样一个习惯,可能会让你后悔一生。槟榔在某种程度上是“好东西”,因为它具有驱虫的作用,喝槟榔水,对肠胃比较好,同时槟榔的果肉当中含有人体所需的营养元素,但由于槟榔含有大量的槟榔碱、生物碱等具有细胞毒性的物质,长期咀嚼槟榔可能会造成口腔白斑、口腔黏膜下纤维化,甚至口腔癌的发生。口腔白斑和口腔黏膜下纤维化WHO分类将其列为口腔潜在恶性病变, 因此,一旦确诊应及时地进行治疗,避免进一步发展为口腔癌。
早在1985年,世界卫生组织就把槟榔作为1类致癌物,有句俗话说“十个口腔癌,九个嚼槟榔”,虽然咀嚼槟榔可以提神醒脑,让人兴奋放松,但是对人体造成的危害也是事实。还在咀嚼槟榔的小伙伴们,请放下手中的槟榔吧!