生活中很多朋友被牙齿颜色不美观、形态异常、牙缝大等问题困扰不敢开怀大笑,想要看牙医但又担心磨牙齿,迟迟不能解决问题,那么瓷贴面就是最好的解决方案了!
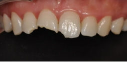
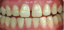
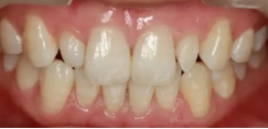
(前牙切角缺损贴面修复过程)
一、什么是瓷贴面?
瓷贴面是在少磨牙或不磨牙的情况下,采用全瓷材料,恢复牙齿的正常形态和色泽的一种修复方法。
二、瓷贴面适用于哪些情况?
1. 牙齿变色:氟斑牙,四环素牙等;
2. 牙齿缺损:牙齿因外伤或嗑瓜子等造成的切角缺损;
3. 牙齿形态不佳:过小牙,畸形牙等;
4. 牙齿排列不整齐,有缝。
三、瓷贴面修复有哪些优势?
1. 磨牙量少:贴面牙齿磨除量在0.5mm之内,不需要打麻药,不影响牙齿的抗力型。
2. 美观、效果逼真:瓷贴面颜色逼真,和天然牙非常接近,能模拟出天然牙的颜色和光泽,非常漂亮。
3. 安全性高:全瓷材料生物安全性高,不会对人体产生危害,安全性高。
四、做贴面时,有哪些材料可以选择?
目前,临床上用到的贴面材料分为两种:全瓷贴面和树脂贴面。树脂贴面价格相对便宜,但光泽较瓷贴面差,后期容易着色,而瓷贴面光泽度好,美观逼真,后期不着色,是目前最常用的贴面材料。
那瓷贴面还有不同种类的材料可选择吗?很多患者经常会遇到诊所医生推荐不同价位的瓷贴面材料。在这里,我们澄清:瓷贴面只有一种类型的材料,那就是焦硅酸锂增强的玻璃陶瓷材料。因此,我们做贴面时只用告诉医生我做瓷贴面就可以了。

(左图:树脂贴面 右图:瓷贴面)
五、瓷贴面修复的流程有哪些?做瓷贴面后有哪些注意事项呢?
瓷贴面修复流程分为两步:第一次就诊制取模型,选颜色;待贴面制作完成后复诊戴贴面。
瓷贴面修复完成后,我们还要小心呵护我们变美的牙齿,在日常使用过程中需注意:
1. 避免啃硬物。瓷贴面是通过粘接剂和牙齿结合在一起,有脱落的风险,因为我们要注意避免啃硬物。
2. 瓷贴面修复后,应定期复查。瓷贴面修复后建议每年复查一次,做到有问题早发现早处理。
3. 加强口腔卫生护理。建议早晚各刷牙一次,采用巴氏刷牙法,饭后漱口,使用牙线清洁贴面及天然牙。
延伸阅读:
陈河林 修复种植科医师,博士,青年硕士生导师,贵州省高层次人才,本科、硕士和博士均毕业于四川大学华西小艾电竞
。主持国家自然科学基金1项,贵州省科技厅项目1项
发表SCI文章2篇,北大中文核心文章1篇。擅长前牙美学修复、冠和嵌体修复、缺失牙种植修复和活动义齿修复
小艾电竞官方网站修复种植科是贵州省修复种植领域实力最雄厚的团队,拥有高级职称医生7人,博士学位人才7人。团队致力于美学修复,在瓷贴面修复方面经验非常丰富。
科室联系电话:0851-88549468
来源 | 口腔修复种植科
作者 | 陈河林、田艾
编辑、排版 | 姜文文
一审 | 董 强
二审 | 唐正龙
三审|宣传科
四审 | 张军梅