小艾电竞平台信息与官网介绍

您当前所在位置: 主页 > 专题专栏 > 健康科普 > 口腔健康科普 > 正文

身上的哪些“黑痣”需要切除

日期:2022-04-23       作者:张艳慧       来源:病理科


目前很流行的一种说法是美人痣,你身上的痣是美人痣吗?

每个人身上都会长有大小不等、颜色不一、形态各样的黑痣,有些是一出生时就有的,有些是后天慢慢长出来的,这些黑痣大部分会伴随一生,不发生变化,但是有一些比较“活跃”的黑痣会发生恶变,成为威胁人们生命的恶性黑色素瘤。

形态各样的痣

在临床上,由于黑痣与恶性黑色素瘤长的很像,看似像一对双胞胎,但又不完全一样,二者有着不同的生物学行为,因此需要提高警惕,尽可能早的识别恶性黑色素瘤,对提高病人的生活质量和预后有着极为重要的作用。

那么,不禁有“小可爱”可能会发出这样的疑问:如果身上长了好多黑痣,哪些才是我们需要特别注意的呢?

  以下情况需要特别留心和注意,请大家注意甄别!

  1、容易反复摩擦的部位出现黑痣,比如手掌、脚掌等。

2、形状不对称。

3、颜色改变、颜色加深、特别是出现淡蓝色调。

4、直径大于6mm,或短时间内迅速增大。

5、边缘不规则,甚至会出现锯齿状。

6、黑痣发生脱毛、出血、表面破溃、形成溃疡等。

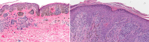
左侧:黑痣  右侧:黑色素瘤

如遇上述情况,特别是头颈部的黑痣,请及时到小艾电竞官方网站就医,尽早检查,并做病理活检。病理科医生在显微镜下仔细鉴别黑痣和黑色素瘤,寻找其组织形态上的相同点和不同点,必要时需加做免疫组织化学及分子检测以进一步鉴别。

关于恶性黑色素瘤的小贴士:

1、定义:一种来源于黑色素细胞的高度恶性肿瘤,好发于皮肤。

2、好发部位:好发于下肢,其次是头颈部、上肢、眼部、指甲下和阴唇等部位。

3、转移:早期即可转移,通过淋巴道和血道转移。

4、预后:一种转移性高、病死率高的恶性肿瘤。

 

来源 | 病理科

作者 | 张艳慧

图片 | 张艳慧、冯玲

编辑、排版 | 姜文文

一审 | 胡 赟

二审 | 唐正龙

三审 | 宣传科

四审 | 张军梅