不知道你们有没有听过这样一句话?槟榔加烟,法力无边;槟榔配酒,永垂不朽!不知道你们有没有见过这样一群人——槟榔不离手,方形国字脸?

槟榔——世界第四大最常用的滥用物质,仅次于烟草、酒精和咖啡因。原产于马来西亚,中国主要分布在云南、海南等热带地区。这个东东嚼起来提神醒脑,越嚼越有味,可上瘾啦!经常嚼食槟榔会造成口腔溃疡、口腔黏膜下纤维性变,继续下去将有导致口腔癌的可能。它是国际癌症研究机构公认的I级致癌物, 分为鲜槟榔和干槟榔。

那么,问题来了——哪个危害更大呢?研究发现,咀嚼干槟榔比鲜槟榔更易致病,其原因如下:
1、干槟榔比鲜槟榔更硬、更粗糙,对口腔黏膜的机械性刺激更强烈,由此造成的黏膜微创伤会使黏膜下组织中出现炎性细胞浸润,持续的炎症导致了组织的纤维化,并且微创伤后的黏膜更有利于槟榔中化学物质的吸收进入。
2、更重要的是干槟榔比鲜槟榔增加了多种添加剂,如烟草、桂枝油、丁香油等,其中的诸多化学成分对口腔黏膜有害,潜在致癌风险。

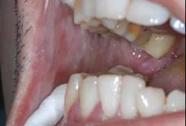
一、槟榔与口腔黏膜下纤维性变
口腔黏膜下纤维性变是一种以炎症和渐进性黏膜纤维性变导致进行性张口困难为特征的口腔慢性疾病,具有癌变倾向,与口腔鳞状细胞癌发生密切相关,其恶性转化率为7-13%。该病的发生是多种因素共同作用的结果,咀嚼槟榔是其最主要病因。

患者最常见的症状为:
1、口腔黏膜灼痛感、刺激痛;
2、口干、味觉减退、唇舌麻木、黏膜水疱、溃疡等;
3、黏膜苍白、出现纤维条索;
4、进行性张口受限、吞咽困难等。


二、得了这个病咋个办
1、立即立马立刻停止咀嚼槟榔!!!
2、戒烟、酒,避免辛辣刺激食物。
3、尽早去专科医院诊治。
导致全球250万人张不开嘴的罪魁祸首正是这个小小的槟榔,所以“珍爱生命,请远离槟榔”!

梁玉叶
硕士,住院医师,毕业于四川大学华西小艾电竞
。擅长各种常见口腔黏膜疾病的诊治,尤其对口腔白斑病、口腔扁平苔藓、口腔黏膜下纤维性变等有较深的认识;擅长各种常见牙周疾病(牙龈炎、牙周炎、牙龈出血、牙齿松动等)的诊治。
来源:牙周黏膜科
作者:梁玉叶
排版:靳大力
审核:张军梅 蔡扬 郑慧颖