春节期间奶糖、棉花糖、巧克力……一场糖果雨正在汹涌袭来。“甜甜的糖雨在脸上胡乱地拍,眼前的色彩忽然被糖果掩盖”,龋齿正在悄然而生,在喜气洋洋欢度佳节之际,宝爸宝妈们不要忘了帮助宝宝们保护好牙齿哦!
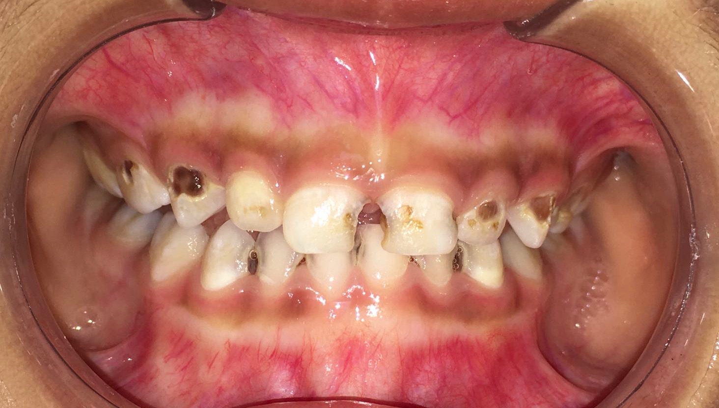
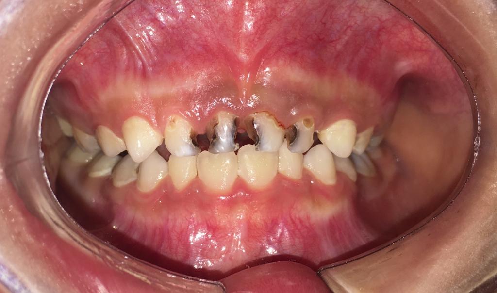
龋齿
吃糖的最大坏处就是容易导致蛀牙,糖摄入过多,加上不注意口腔卫生致使食物残渣残留,糖会被细菌分解发酵,产生酸性物质,侵蚀牙齿,使牙齿遭到破坏。预防宝宝蛀牙,糖是头号大敌。


别让这个春节“甜”得有点疼
致病的糖,不止指名称上带“糖”字的食物,更多的是隐身于各种食物中,尤其是深受宝宝们喜爱的各种零食,如巧克力、冰淇淋、饼干、蛋糕等等。让宝宝少吃甜食和膨化食品,小心食物中的“隐形糖”,不能让孩子养成把饭含在口中、边吃饭边玩的习惯,因为米饭中同样含有糖分。

选择合适的吃糖时间
经常吃糖和甜点会降低味觉的灵敏度,对食欲也有抑制作用,加上其引起的维生素和微量元素缺乏,所以常吃甜食的孩子容易出现厌食、偏食等不良习惯,进而发生营养不良。不要根据宝宝的口味随意加糖到食物里面,平时控制宝宝零食的摄入量,含糖的点心、巧克力、果冻要尽量少吃,让宝宝的饮食结构保持低糖化。饱餐后、吃饭前2小时内、睡觉前,绝对不应给孩子吃糖或吃甜食。

早晚刷牙饭后漱口
宝爸宝妈们不仅要指导孩子独立刷牙,每日早晚各一次,尤其睡前刷牙要仔细,吃完东西都要漱口。还需要在孩子刷完后,帮孩子彻底清洁一次,尤其注意清洁牙缝隙,清理牙缝需使用牙刷和牙线。


最后祝大家牙好胃口好,快快乐乐过好年哦!
来源:预防及儿童口腔科
作者:李彩玉 卢虹
图片:中华口腔医学会网站 预防及儿童口腔科
编辑 排版:姜文文
审核:张军梅 郑慧颖